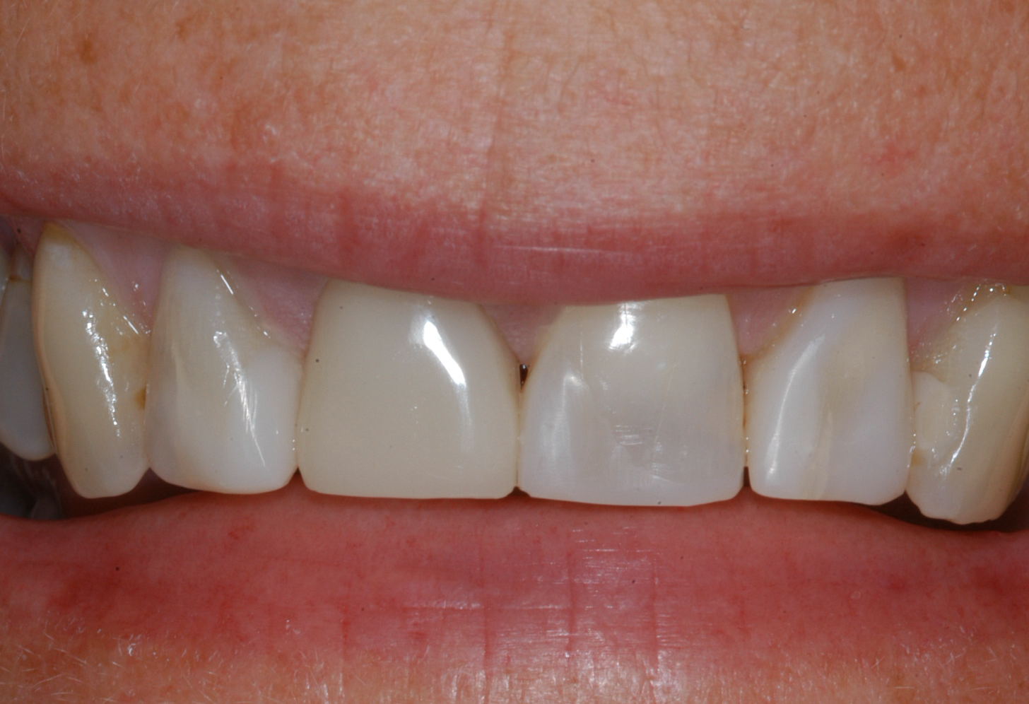
Cerec-Frontzahnkronen Cerec – Kronen sind eine ästhetisch,optimale und preisgünstige Versorgung und sie verhelfen Ihnen zu einem strahlenden Lächeln. Verfärbung ästhetische Korrektur alte Krone mit typischem sichtbaren Kronenrand durch Cerec-Krone ohne sichtbaren Kronenrand ersetzt unästhetische Frontzähne Farb- und Formkorrektur mit Keramikkronen