
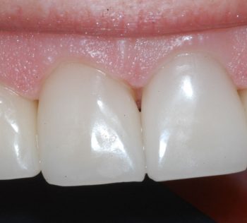
Cerec / Keramik
Bei uns erhalten Sie mit der neusten Technik (Cerec) den perfekten zahnfarbenen Ersatz. Wir können gar mehrere Rekonstruktionen gleichzeitig konstruieren.
Weiterlesen...
Angebot
Wir verhelfen Ihnen zu einem strahlenden Lächeln Hier zeigen wir Ihnen einige Fallbeispiele aus unserem täglichen Praxisablauf.
Weiterlesen...
Implantate
Nach einem Zahnverlust ist es oft möglich, den Zahn mittels eines Implantates zu ersetzen. Der neue Zahn ist kaum von einem natürlichen zu unterscheiden.
Weiterlesen...Liebe Patientinnen und Patienten
Ich möchte Ihnen einige wichtige Neuerungen in unserer Zahnarztpraxis vorstellen, die ab Sommer 2024 wirksam werden.
Es freut mich sehr, Ihnen mitteilen zu können, dass mein mehrjähriger Mitarbeiter, Herr Dr. Marco Tschannen, ab Sommer 2024 als Teilhaber in unsere Praxis einsteigen wird.
Zusätzlich wird meine Tochter, Dr. Alena Wepfer, unser Team weiterhin unterstützen und ihr Arbeitspensum in den kommenden Jahren schrittweise erhöhen.
Es ist mein langfristiges Ziel, die Praxis letztendlich in die Hände von Marco Tschannen (als Geschäftsführer) und Alena Wepfer zu übergeben.
Haben Sie ältere Amalgamfüllungen zu ersetzen oder haben Sie einen frakturierten Zahn?
Bei uns erhalten Sie mit der neusten High Tech CAD CAM-Technik (Cerec AC) den perfekten zahnfarbenen Ersatz. Wir arbeiten mit der neusten CEREC 4.0 Software, was uns ermöglicht, mehrere Rekonstruktionen gleichzeitig zu konstruieren.

